近日,国际顶级学术期刊《自然-衰老》(Nature Aging)在线报道了华东理工大学化学与分子工程学院郭志前教授、朱为宏院士团队在化学、生物学和分子影像交叉领域取得的重要突破。该研究创新提出“自上而下”的衰老量化研究策略,建立基于荧光寿命成像的衰老检测(S-FLIM)新方法,通过分子工程化杂交发展新型黄菁类染料,成功构建超敏分子探针“荧光寿命衰老时钟”(Fluorescence Lifetime Aging Clock),实现从细胞到生物个体衰老进程的动态检测与长寿个体鉴定,为衰老生物学研究和抗衰老干预研究提供可视化的新型技术手段。

衰老是全球人口老龄化背景下的核心科学问题,其特征是时间依赖性的功能衰退,与多种慢性疾病密切相关。然而,当前量化衰老的方法主要依赖于表观遗传学时钟(如DNA甲基化时钟),这些技术需多步DNA提取和体外PCR扩增,难以实现活体、原位、实时检测。如何将DNA甲基化这一“静态”指标转化为动态、可视化的“读数”一直是领域内的挑战。
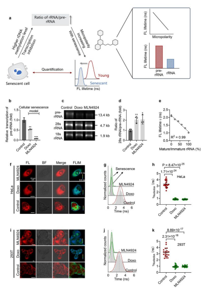
在S-FLIM策略中,核心目标染料FLP1在结合rRNA后可产生高达410倍荧光增强,其荧光寿命与核仁微极性线性相关,能够直接反映细胞衰老状态。通过S-FLIM技术,实现了增殖细胞与衰老细胞的有效区分,并能够识别衰老的早期表型,为衰老生物学研究提供了高时空分辨、可视化的新型分析手段。

该研究工作主要进展为:(1)分子工程化建立微极性敏感染料:设计并开发不对称黄菁染料FLP1,该染料能高效结合核糖体RNA(rRNA),其荧光寿命对核仁微极性变化表现出高度灵敏的响应特性;(2)实时动态量化:利用荧光寿命成像技术克服传统荧光强度检测易受光照功率、探针浓度等因素影响的局限,实现了对细胞衰老过程的实时、定量化描述;(3)跨尺度应用兼容:无需样本裂解,可在活细胞、组织乃至活体动物水平直接成像,将检测时间缩短至 1.5 小时,显著提升了衰老研究的时效性与实用性。

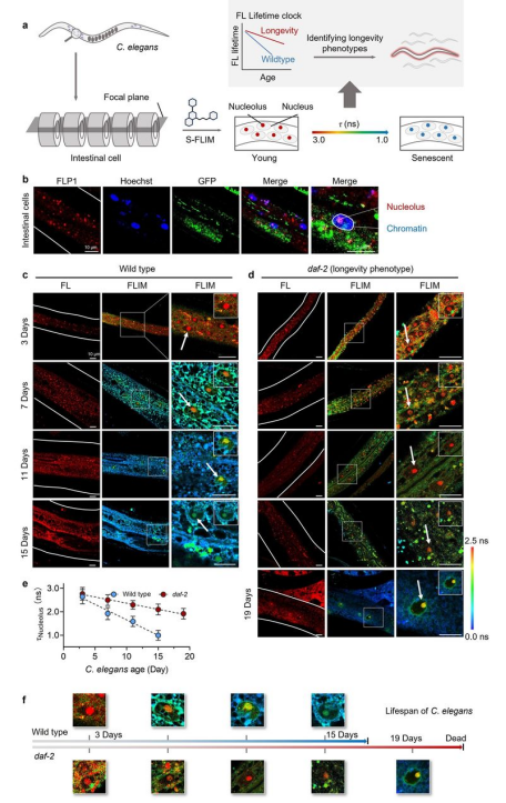
基于S-FLIM技术,研究团队成功建立了荧光寿命衰老时钟,并实现长寿个体鉴定:小鼠实验中,FLP1荧光寿命随年龄增长线性下降,并在早衰模型中验证其高度敏感性。对于人类志愿者(18-73岁)血液样本的测试数据显示,中性粒细胞荧光寿命与年龄高度相关,且与转录组学和DNA甲基化数据一致,体现了 S-FLIM 在跨物种衰老量化研究中的可靠性。在模式生物线虫中,S-FLIM实现了活体中实时衰老监测。长寿突变体daf-2的荧光寿命衰减斜率显著缓于野生型,19日龄daf-2线虫的核仁荧光寿命相当于野生型7日龄水平,直观可视化揭示了长寿表型中衰老进程的动态延缓。这些研究结果表明,荧光寿命衰老时钟能够跨物种、动态、定量地反映衰老状态,为衰老生物学研究及长寿机制解析提供了强有力的工具。


S-FLIM在模式线虫活体中实时衰老监测
S-FLIM技术显著优势在于:(1)高分辨率与实时性:可在单细胞水平解析衰老异质性,无需破坏样本;(2)跨物种适用性:从线虫到人类均验证其普适性;(3)临床转化潜力:结合血液样本易获取特性,有望用于个体化衰老评估、抗衰老药物筛选及疗效监测。面向未来,S-FLIM策略将推动衰老细胞图谱构建、器官特异性衰老轨迹解码,并在临床中用于患者分层、干预措施优化,为延长健康寿命提供技术支撑。
论文链接:https://www.nature.com/articles/s43587-025-01001-1
